〒104-0032 中央区八丁堀1-8-3 仁成堂ビル1F
最寄り駅:JR京葉線・東京メトロ日比谷線 八丁堀 徒歩3分
東京メトロ日比谷線・東西線 茅場町 徒歩4分
駐車場:近隣のコインパーキングをご利用ください

  日祝
09:30~13:00 〇※ 〇※ ×
14:00~18:00 × ×

※矯正は火・木の午前休診

休診日
日曜・祝日
03-3553-2461
03-3553-2462

白くかがやく自然な歯並びと 明るい笑顔は見ていてとても気持ちのいいものです。

矯正治療とは、出っ歯・受け口・乱ぐい歯などの歯を、あごの中で少しずつ動かして健康な歯並びと美しい顔貌を作り出す治療です。

単に見た目だけでなく、むし歯や歯槽膿漏などの病気を予防するためにもとても重要な歯科治療なのです。

矯正治療について何か不安があったり、疑問な点がありましたら、どんな小さなことでも構いませんので、まずは相談してくださいね。

1 初診 

●検査票の記入

治療のあらましの説明を行います。

2 精密検査

●頭、顎や歯のレントゲン撮影

歯型、歯や顔の写真などの記録を行います。

3 検査結果の説明(診断) 
●治療方法、使用する装置、期間、費用などの詳しい説明があり、
治療を行うかどうかの最終的な相談が行われます。
4 装置の作製
●装置の種類により異なりますが2〜3回の来院に分けて装着します。
5 ブラッシングの練習
●正しい歯の磨き方を十分な時間をかけて指導いたします。
6 治療開始
●原則として、月に1〜2回の割合で、治療終了まで定期的に通院していただきます。
7 保定
●治療後の歯並びを安定させるために、保定装置を使用します。
3〜6ヶ月に1回、1〜2年通院していただきます。
P9280083-v256.jpg

矯正治療の料金表

■相談料  2,200円

 

■診断料  38,500円

資料採得・精密検査とその結果報告までの料金です。

 

■処置料(1回毎) 2,200円〜11,000円

毎回の処置に応じてかかる料金です。

 

■矯正治療費  693,000円(全体矯正の場合) 

金利手数料なしの分割払いも可能です。

 

永久歯が完成する前に来院された場合は治療を2段階に分けて行います。

第1段階(早期治療)   220,000〜330,000円

第2段階(本格矯正)   363,000〜473,000円

         矯正治療費の合計は 693,000円で同じです。

※早期治療とは・・・6歳〜12歳前後の永久歯完成前に、成長を利用しながらあごと歯並び、筋の不調和を改善しておく治療です。
早期に行うことで、本格矯正治療の期間も短くなり、抜歯する率も少なくなります。

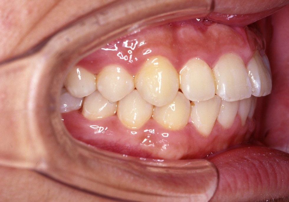
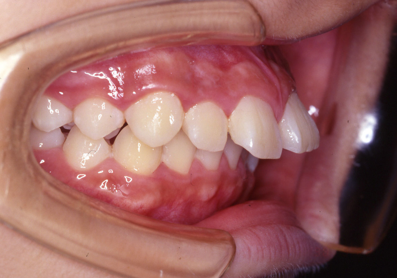
矯正治療でこんなに変わります。

上顎前突(出っ歯)

治療前
治療後

下顎前突(受け口)

治療前
治療後

叢生(乱ぐい歯)

治療前
治療後

 使用される装置にはたくさんの種類があります。
 不正咬合の種類や年齢によって、最も適した装置が使われます。

永久歯が完成すると本格矯正を行います。

本格矯正では主に、マルチブラケット装置を使います。

 

 

 

 

 

 

 

 

 

 

 

 

その他に、顎を広げたり、上下のあごのずれを改善したりするための装置があります。

口の外で使う装置もあります。

 

 

 

 

 

 

 

 

 

 

 

 

 

 

 

 

 

 

 

症例によっては、ブラケットをつけないで、目立たない取り外し可能な装置で矯正することもできます。(マウスピース矯正)

ご予約はこちら

お電話でのご予約はこちら
03-3553-2461
  日祝
午前 〇※ 〇※ ×
午後 × ×
診療時間
午前 09:30-13:00(矯正は火・木の午前休診)
午後 14:00-18:00
休診日
日曜・祝日

お気軽にお問合せください

お電話でのご予約

03-3553-2461

<受付時間>
9:30~13:00 14:00~18:00
※日曜・祝日 
※矯正は火・木の午前休診

うすい歯科医院
(歯科・矯正歯科・小児歯科)

住所

〒104-0032
中央区八丁堀1-8-3

アクセス

最寄り駅:JR京葉線・東京メトロ日比谷線 八丁堀 徒歩3分
東京メトロ日比谷線・東西線 茅場町 徒歩4分
駐車場:近隣のコインパーキングをご利用ください

診療時間
 
午前
午後

午前 9:30~13:30 
午後 14:00~18:00

※矯正は火・木の午前休診

休診日

日曜・祝日 
※矯正は火・木の午前休診

診療科目

一般歯科、小児歯科、矯正歯科

当院の施設基準